Chirurgia, la gamba bionica di Mario salvata da una protesi di caviglia su misura

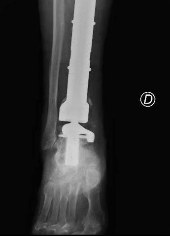
(Adnkronos) – Una protesi di caviglia costruita su misura salva la gamba bionica di Mario, paziente 80enne protagonista di un raro intervento eseguito al Policlinico Gemelli di Roma e definito "unico nel suo genere". Una travagliata storia a lieto fine cominciata una decina di anni fa quando Mario, ex coltivatore diretto, fu colpito da un cancro alle ossa. Ancora oggi, nonostante gli anni e gli acciacchi, Mario continua a occuparsi del suo orticello in una campagna in provincia di Viterbo. Ma sono tanti gli ostacoli che l'anziano ha dovuto superare e che sono iniziati 10 anni fa con un dolore sempre più forte e insistente alla gamba destra. Dopo una serie di esami, l'ortopedico consultato da Mario gli ha comunicato che quei fastidi erano causati da un tumore osseo raro (un adamantinoma) a carico della tibia. Alla diagnosi è seguita la resezione del tumore con impianto di una mega-protesi di tibia prossimale, cioè nell'area vicino al ginocchio. Dopo circa un anno dall'intervento, però, una grave infezione della protesi impiantata ha costretto Mario a subire una serie di complessi interventi chirurgici che si sono conclusi con l'impianto di una protesi totale di gamba e di caviglia in titanio, rivestita in argento per evitare nuove infezioni. Una gamba bionica. Ma ancora non era finita. A distanza di 6 anni, Mario torna dagli ortopedici del Gemelli per un dolore alla caviglia. Gli esami rilevano la rottura di una vite della protesi, a livello della caviglia. E' necessario sostituire il pezzo, ma l'unico modo per farlo – decretano gli specialisti – è facendo confezionare una protesi 'custom-made', disegnata e realizzata su misura. Gli ortopedici del Gemelli inviano perciò la Tac di Mario all'Implantcast, una ditta specializzata di Buxtehude, cittadina a sud ovest di Amburgo, in Germania. Basandosi sulla ricostruzione tridimensionale della caviglia bionica di Mario, i bioingegneri realizzano un calco della protesi custom-made con una stampante 3D, sul quale viene realizzata la protesi in titanio per l'impianto definitivo. Ed ecco l'intervento effettuato da Carlo Perisano, professore aggregato dell'Università Cattolica del Sacro Cuore e dirigente medico presso la Uoc di Ortopedia e Traumatologia della Fondazione Policlinico Gemelli, diretta da Giulio Maccauro. L'operazione dà i suoi frutti: "A distanza di appena qualche giorno dall'intervento, Mario sta di nuovo in piedi sulla sua gamba bionica arricchita di quest'ultimo gioiello tecnologico", riferiscono dall'Irccs capitolino. "Il paziente – afferma Perisano – era stato sottoposto negli anni a diversi interventi chirurgici per il trattamento di un tumore osseo della tibia e delle successive complicanze che avevano compromesso anche le articolazioni del ginocchio e della caviglia. Nel 2019 è stato sottoposto a posizionamento di mega-protesi custom-made personalizzata di tibia totale ginocchio e caviglia, scongiurando così il rischio di una chirurgia demolitiva, ovvero dell'amputazione dell'arto, garantendo al paziente il ritorno alle normali attività quotidiane". "Le protesi personalizzate (o custom-made) – illustra lo specialista – rappresentano un'innovazione significativa in ambito ortopedico. Si tratta tuttavia di impianti costosi, proprio perché realizzati su misura, che vengono per questo riservati a casi particolari e selezionati. L'impiego di tali protesi ci consente di personalizzare l'intervento sulle specifiche esigenze del paziente, garantendo un'accurata riproduzione anatomica ed un elevato grado di recupero funzionale. Nel caso specifico, la realizzazione di una componente astragalica su misura ci ha consentito di revisionare l'attuale protesi di caviglia e ha permesso al paziente un precoce ritorno ad un livello funzionale normale". E dal Gemelli rimarcano che "la revisione con una protesi di caviglia custom made di una protesi totale di caviglia e tibia è un intervento finora mai descritto in letteratura". "L'obiettivo di questi interventi di alta specializzazione – spiega ancora Perisano – è quello di minimizzare le complicanze, scongiurare il ricorso a chirurgie demolitive e consentire al paziente di proseguire la sua normale vita quotidiana. Le protesi personalizzate sono progettate su misura per il singolo paziente, tenendo conto delle peculiari caratteristiche anatomiche e della tipologia di trattamento. Nel caso specifico del signor Mario abbiamo fatto realizzare una protesi su misura per la sua caviglia, un'articolazione per la quale il ricorso all'uso di protesi customizzate è molto meno frequente rispetto ad articolazioni come anca, ginocchio e spalla e non scevro da difficoltà tecniche ed anatomiche". Nei mesi precedenti all'intervento chirurgico è stato elaborato un protocollo di pianificazione chirurgica, con un prototipo della componente astragalica e tibiale, che comprendeva dettagliate indicazioni relative ai tagli di resezione ossea, alle dimensioni della componente e a tutti gli step intra-operatori, riporta una nota. Successivamente, previa accurata valutazione del progetto e dopo ulteriori modifiche, è stata realizzata la componente protesica definitiva. "Si tratta di interventi di estrema precisione – commenta Maccauro, ordinario di Ortopedia dell'Università Cattolica – Grazie ad un'accurata pianificazione pre-operatoria e allo strumentario dedicato ed estremamente sofisticato necessario per il confezionamento di queste protesi speciali (maschere di taglio, guide per posizionare le componenti protesiche e la protesi custom made stessa), ci è possibile effettuare interventi molto precisi che riducono gli errori intraoperatori e guidano l'operatore nei processi decisionali e nell'atto chirurgico impensabili in passato". —salutewebinfo@adnkronos.com (Web Info)